No more cavities with dental fillings from mydentist
Dental fillings are used to restore missing tooth structure by filling the cavity (hole). Cavities are usually the result of tooth decay but other causes include cracked or broken teeth, or teeth that have been damaged by nail-biting, tooth grinding or trauma. Available in a range of materials and colours, fillings can restore your tooth, reduce pain, and give you your smile back.
How are fillings carried out?
Fillings are really simple to perform: your dentist will remove the decayed or damaged portion of your tooth and fill the cavity with the most suitable filling material.
What type of fillings are available?
There are plenty of options! Each filling type has its own unique benefits, like strength, durability, and aesthetic appeal. Depending on your personal needs, you might only need a temporary filling, but your dentist will discuss this with you at your appointment.
Amalgam (silver)
These are the most common type of silver-coloured fillings. They contain a mixture of metals including mercury, silver, tin, and copper. Although they offer strength and durability, some people don't like the way they look.
Gold Inlay
Some people find gold fillings more aesthetically pleasing than amalgam fillings. They may cost more than amalgam fillings, but when used and maintained correctly they can last a very long time.
Composite (tooth coloured)
Fillings made of a tooth-coloured composite (powdered glass and ceramic added to a resin base) are popular because their colour can be matched to your teeth. Despite advances in technology, composite fillings are not quite as durable as amalgam fillings and they may need to be replaced more frequently. They're also more expensive than amalgam fillings.
Ceramic (tooth coloured) inlay
Ceramic fillings are often made of porcelain, which makes them durable and aesthetically pleasing. Usually, they have to be carefully made by a dental technician and so can be more expensive than composite fillings. They are however very strong which makes them suitable for larger cavities.
Glass ionomers
These fillings are often a good choice for children as they can release fluoride, which can help prevent further tooth decay. They're rarely used on the biting surface of adult teeth as they can wear more rapidly than other types of filling material.
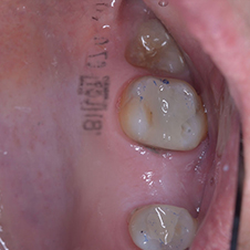
Filling results
Before
After
Before
After
Have you thought about?
Regain confidence in your smile with options available to restore your teeth.
There are several treatments available for replacing missing teeth including crowns or inlays and onlays.
Fillings FAQs
Which is the most natural looking filling?
If you want your fillings to blend in seamlessly with your natural tooth colour, then a tooth-coloured filling from composite is the way to go. These fillings are a great way to correct dental flaws and give you a smile you can be proud of. Plus, they bond to your teeth to prevent breakages, and they're just as safe as silver fillings.
Are amalgam fillings better?
Amalgam fillings are a popular choice, well-known for their durability, but if you're not a fan of the silver look, a tooth-coloured composite filling might be a better option. With advances in composite materials, tooth-coloured fillings can last just as long as amalgam fillings, although the longevity of your filling will depend on where it's located in your mouth and how much pressure your teeth put on it when you bite.
What happens if my filling falls out?
No filling is indestructible. They can fall out or crack, especially if decay starts to develop around them. But don't worry! In most cases, it's a simple process to repair or replace your fillings with either the same or a similar material.
Start your tooth filling journey with mydentist today
Dental fillings are a simple way to restore the structure of your tooth and bring back your smile. Ready to say goodbye to cavities and hello to a dazzling smile?



