Get a healthy, happy smile with a mydentist hygienist
We rely on our teeth every day, and they’re one of the first things people notice when they meet us, which is why keeping them healthy and happy is crucial. Thankfully, a quick visit to the dental hygienist is usually all you need to take care of your teeth.
A dental hygienist can remove plaque and tartar, two of the biggest causes of gum disease, and provide tips on how to maintain good oral hygiene, ensuring your smile lasts for years to come.
A hygienist can help
- You have stained teeth
- You have gum disease
- You struggle to maintain good dental hygiene
- You need advice on keeping your teeth and gums healthy
The benefits of a dental hygiene appointment
Removes surface stains and plaque
Leaves teeth cleaner
Makes teeth look whiter
Makes gums healthier
Prevents and treats gum disease
Reduces bleeding
Prevents tooth loss
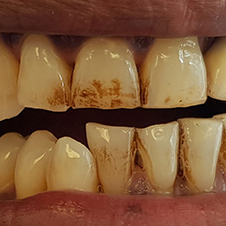
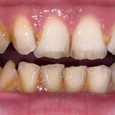
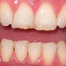
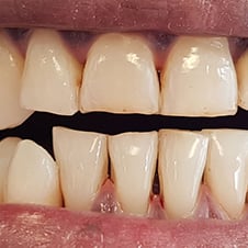
Hygiene results
Before
After
Before
After
Have you thought about?
Regain confidence in your smile with options available to restore your teeth.
There are several treatments available for restoring your smile teeth whitening or routine check-ups.
Hygiene FAQs
Why should I see a dental hygienist?
A hygienist’s main job is to prevent and treat gum disease, which is caused by a build up of plaque on the teeth. Plaque is the sticky, white deposit that forms on your teeth when bacteria mixes with food and saliva. If this is not removed thoroughly through brushing and flossing it can harden, turning into tartar, which must be professionally removed.
When should I see a hygienist?
If a dentist refers you to a hygienist, they will tell you how often you should be seen to help you manage your oral health. You can also self-refer to many of our practices. Many of our patients enjoy the deep clean feeling of a hygiene treatment and a brighter smile achieved through stain removal.
How is plaque harmful?
The bacteria in plaque and tartar are harmful to your teeth and gums. The bacteria causes irritation, which can cause bleeding, swelling and soreness. If not treated, the bone in your jaw can be damaged, causing teeth to become loose and eventually fall out. Gum disease has also been associated with other health conditions such as cardiovascular disease, lung infections and problems in pregnancy.
Do hygienist treatments hurt?
In most cases, a visit to the hygienist is a pain-free experience. However, if you experience any discomfort, the hygienist can use anaesthetic creams or provide a local anaesthetic to ease the pain.
Can children visit the hygienist?
Yes! Children can benefit from having their teeth polished and can also receive fluoride varnishes to help prevent decay. The sooner someone starts investing in their dental hygiene, the more effective it can be.
What will a hygienist talk to me about?
Your hygienist will show you how to properly care for your mouth using basic oral health strategies such as brushing your teeth with fluoride toothpaste and using floss and inter-dental brushes properly. Cutting down on sugary foods and drinks and brushing your teeth properly can also have a big impact on your dental hygiene, and your hygienist can give you advice on how to do this.
Can I afford a dental hygiene visit?
At mydentist we firmly believe everyone deserves the highest quality dental care, which is why we offer a comprehensive and affordable hygiene plan. Take advantage of either two or four visits to the hygienist a year starting at just £12.50 per month! mydentist hygiene plans are a great way to budget for your hygiene treatment and ensure you can afford to visit the hygienist regularly. Better yet, all plan members receive a membership card that entitles them to a 10% discount on any oral hygiene products sold by mydentist!
What is involved in a dental hygiene appointment?
- There are two ways to access a dental hygienist: your dentist can refer you, or you can book an appointment yourself with direct access
- Once you arrive, our helpful practice staff will get you settled in and show you where to go
- The hygienist will start by checking your gums
- The hygienist will then show you some good techniques for maintaining good oral hygiene
- Finally, the hygienist will clean your teeth to remove any plaque or tartar
How else can I maintain good oral hygiene?
Always brush twice a day for at least two minutes and use floss or inter-dental brushes to clean in between too. Your hygienist will provide tailored advice and product recommendations so make sure to follow this at home. Your diet has a big role to play too so try to minimise the sugar in your food and drinks.
Start your mydentist dental hygiene journey today!
What are you waiting for? A healthy, happy smile starts with a visit to a mydentist hygienist. Book an appointment today and take the first step towards a brighter smile - and a brighter future
Rediscover your healthy, happy smile
Don't let a damaged or discoloured tooth knock your confidence; a dental hygienist is an effective way to restore your teeth and bring your smile back to life.
Find your nearest dentist here


